Home Redazione Distrofia Duchenne, via italiana per riparare e rigenerare i muscoli UniMi, nuova tecnica ‘recapita’ nei tessuti malati microvescicole ingenerizzate con proprietà antinfiammatorie

Distrofia Duchenne, via italiana per riparare e rigenerare i muscoli UniMi, nuova tecnica ‘recapita’ nei tessuti malati microvescicole ingenerizzate con proprietà antinfiammatorie

Agenzia Adnkronos

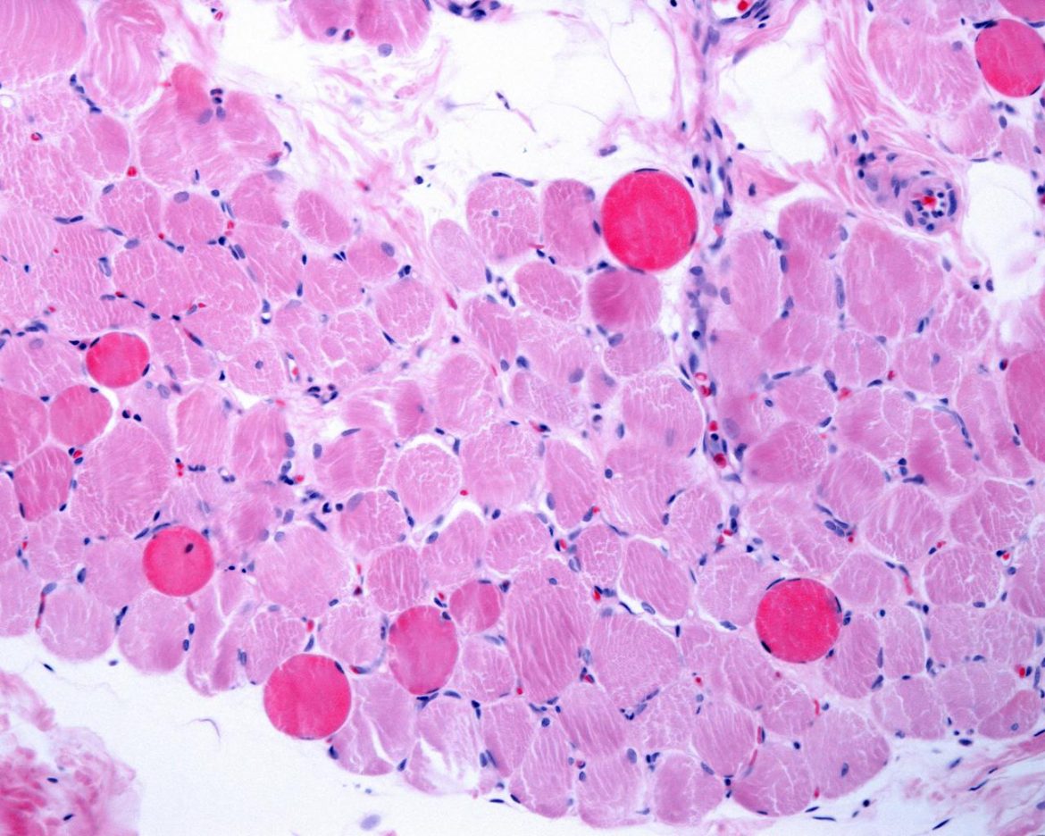
Milano, 22 lug. (Adnkronos Salute) – Dalla ricerca italiana una nuova strategia per favorire la riparazione e la rigenerazione dei muscoli nei malati di distrofia di Duchenne. La scoperta, pubblicata su ‘Nature Nanotechnology’, porta la firma di un team di scienziati milanesi. Gli autori hanno sviluppato un metodo innovativo per veicolare in modo mirato nei tessuti muscolari distrofici microvescicole (esosomi) ingegnerizzate, con proprietà antinfiammatorie.La ricerca è coordinata da Chiara Villa e Yvan Torrente del Laboratorio di cellule staminali, Centro Dino Ferrari, del Dipartimento di Fisiopatologia medico-chirurgica e Trapianti dell’università Statale di Milano e dell’Unità di Neurologia del Policlinico cittadino, in collaborazione con i gruppi di Angelo Monguzzi (Dipartimento di Scienza dei materiali dell’università di Milano-Bicocca) e di Domenico Aquino (Dipartimento di Neuroradiologia dell’Irccs Istituto neurologico Carlo Besta di Milano). “La risoluzione dell’infiammazione nel contesto delle distrofie muscolari è una delle sfide più ardue che ricercatori e clinici cercano di risolvere”, spiega Villa. Gli scienziati hanno trovato un modo per ‘indirizzare’ esosomi ingegnerizzati ad azione antinfiammatoria nei muscoli malati: utilizzando come vettore dei nanotubi ferromagnetici, questi esosomi possono migrare in maniera specifica nei muscoli danneggiati dalla distrofia muscolare di Duchenne (Dmd) tramite l’applicazione di un campo magnetico esterno dopo un’iniezione sistemica. “Siamo riusciti a controllare la biodistribuzione e il targeting degli esosomi in vivo al fine di ridurre la condizione infiammatoria dei muscoli colpiti dalla Dmd”, sottolinea Villa. Le analisi quantitative a livello muscolare hanno mostrato che i macrofagi, un tipo di globuli bianchi, dominano l’assorbimento degli esosomi iniettati, promuovendo la rigenerazione muscolare e migliorando la performance dei muscoli in un modello murino di distrofia Duchenne. “I nostri risultati – commenta Torrente – forniscono nuove intuizioni per lo sviluppo di terapie basate su microvescicole naturali e sintetiche al fine di trattare diverse forme di malattie muscolari. In generale, evidenziano la formulazione di efficaci nanovettori funzionali mirati a ottimizzare la biodistribuzione delle microvescicole”. Questa scoperta, si legge in una nota UniMi, rappresenta “un significativo passo avanti nel campo della medicina rigenerativa e delle terapie innovative per malattie muscolari. Il controllo preciso della biodistribuzione degli esosomi apre” infatti “nuove possibilità per il trattamento non solo della distrofia muscolare di Duchenne, ma anche di altre patologie muscolari caratterizzate da infiammazione cronica e degenerazione tessutale. La combinazione di nanotubi ferromagnetici ed esosomi ingegnerizzati potrebbe rivoluzionare l’approccio terapeutico, offrendo speranze concrete per pazienti e famiglie affetti da queste malattie debilitanti”.

You may also like